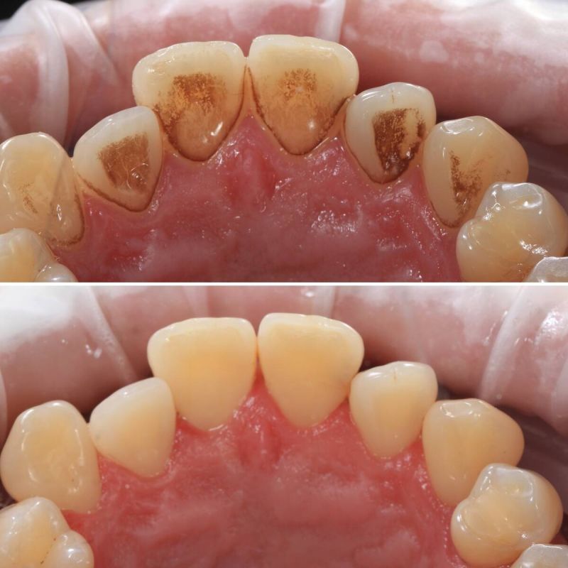
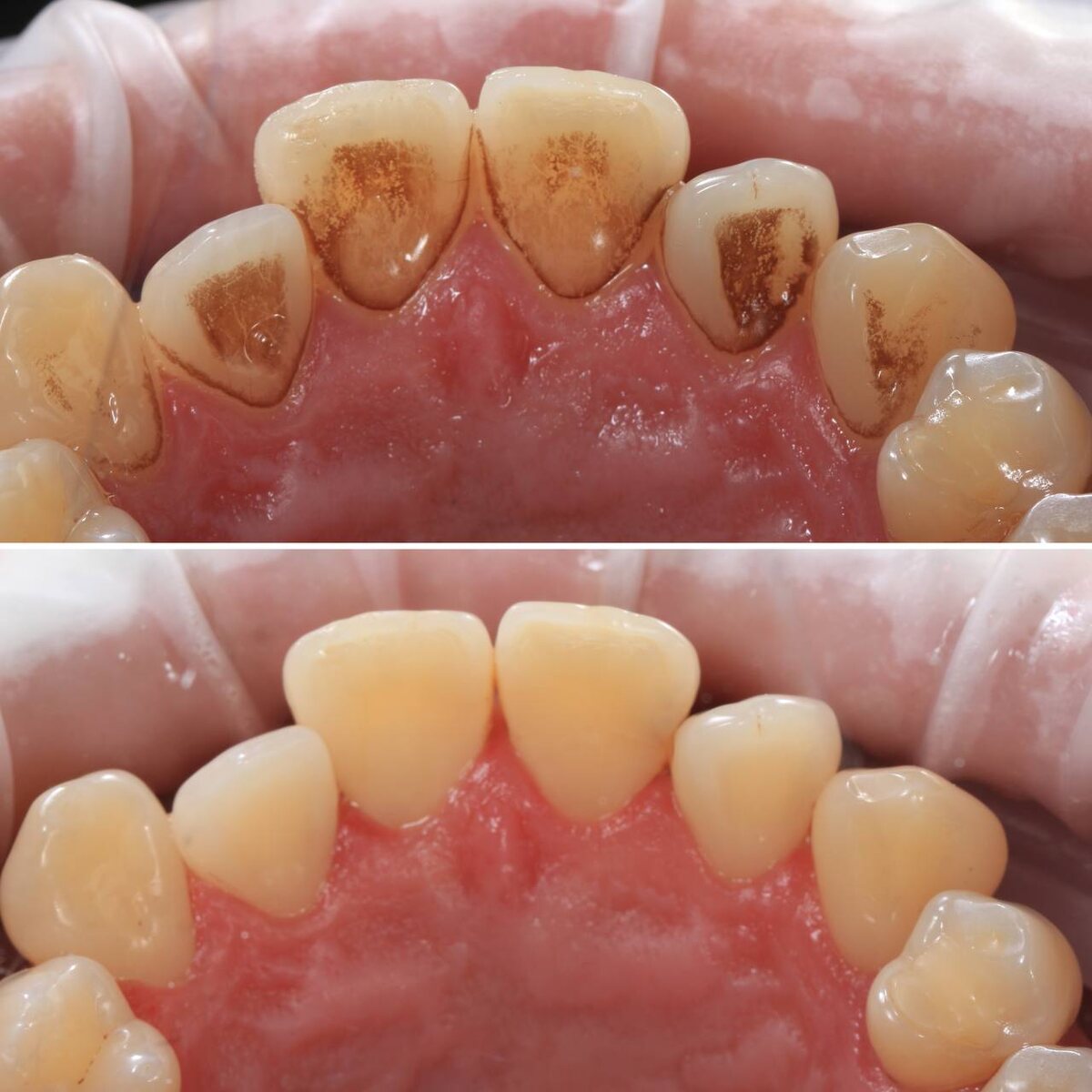
Постепенное появление желтого или даже темного налета на зубах — это своеобразный индикатор уровня гигиеничности в полости рта. Такое естественное явление происходит не только из-за недостаточной заботы о зубах, но также из-за воздействия привычек — употребления чая, кофе, курения и даже некоторых пигментированных продуктов питания. Эти факторы активно окрашивают зубную эмаль, создавая своеобразную пленку, которая так и манит к себе внимание.
Факторы, способствующие образованию налета
Основные причины формирования налета можно разделить на две группы:
- Питание и привычки: Частое употребление красных и сильно окрашивающих продуктов, таких как свекла, ягоды, а также никотин являются основными виновниками появления налета.
- Неправильная гигиена: Даже при регулярной чистке зубов налет может сохраняться в труднодоступных местах, таких как внутренние поверхности зубов и ямки.
Поддержание здоровья зубов
Важно помнить, что регулярная и тщательная чистка зубов может значительно сократить вероятность появления налета. Однако даже в идеальных условиях некоторые участки остаются менее доступными для очистки, что приводит к образованию зубного камня и других проблем. Для поддержания естественного цвета и здоровья зубов рекомендуется использовать качественные зубные пасты, а также проходить профессиональную гигиену полости рта хотя бы раз в полгода.
Не откладывайте визит к стоматологу
Не стоит забывать, что здоровье зубов — это залог общего здоровья. Появление налета — это первый сигнал о том, что необходима детальная проверка и, возможно, профессиональная чистка. Продвижение к лучшему результату начинается с квалифицированного специалиста. Записаться на консультацию можно по телефону или через удобный онлайн-чат.































